Gum graft healing and failure describe how transplanted gum tissue attaches, survives, and protects exposed tooth roots after gum grafting surgery, or how the graft breaks down when blood supply, stability, or aftercare fails. Gum grafts restore healthy gum tissue, reduce tooth sensitivity, protect tooth roots, and stop gum tissue from receding further. Healing depends on graft type, surgical technique, blood supply, and patient compliance, while failure occurs when revascularization, epithelialization, or stabilization is disrupted.
Table of Contents
Gum Grafts
Gum grafts are periodontal plastic surgery procedures used to treat gum recession and exposed tooth roots. A periodontist places healthy gum tissue over areas where the gum line has receded to restore protection and improve oral health.
Gum grafting treats gum recession caused by aggressive brushing, periodontal disease, teeth grinding, smoking, and genetic thin gum tissue.
What Is a Gum Graft?

According to the American Academy of Periodontology (AAP) A gum graft is a surgical procedure where a periodontist harvests tissue from the roof of your mouth or connective tissue underneath and attaches it to a recession site. The goal is root coverage and reinforcement of the gum line.
Common gum graft types include:
- Subepithelial Connective Tissue Graft (SCTG)
- Free Gingival Graft (FGG)
- Acellular Dermal Matrix (ADM)
- Lateral Pedicle Graft
- Coronally Advanced Flap
- Guided Tissue Regeneration (GTR)
Why You Need a Gum Graft
You need a gum graft when gum tissue recedes and exposes tooth roots. Exposed roots increase tooth sensitivity, decay risk, and bone loss.
There are 4 main reasons for gum grafting:
- Tooth roots exposed due to gum recession
- Persistent tooth sensitivity
- Progressive gingival recession
- Thin periodontal bio type prone to breakdown
Untreated gum recession leads to irreversible periodontal damage.
Gum recession and exposed tooth roots are commonly linked to periodontal disease, as explained by Mayo Clinic’s oral health guidelines.
Gum Graft Surgery and Procedure – Step by Step

Gum grafting surgery follows a defined clinical sequence.
Step-by-step gum grafting procedure:
- Administer local anesthesia at donor and treatment sites
- Harvest tissue from the roof of your mouth or connective tissue layer
- Prepare the recipient site for graft placement
- Secure the graft with sutures to prevent micro-movement
- Apply protective dressing if needed
The procedure lasts 60–120 minutes, depending on graft type and number of teeth.
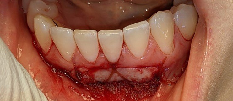
Gum Graft Recovery
Initial gum graft recovery takes 7–14 days, while full tissue maturation takes 4–12 weeks.
During recovery:
- Swelling peaks at 48–72 hours
- White or yellow tissue appears during epithelialization
- Mild bleeding is normal during the first 24 hours
Avoid brushing the surgical site until cleared by a periodontist.
Gum Graft Healing Stages and Recovery

Gum graft healing follows predictable biological phases driven by angiogenesis and fibroblast activity.
Gum graft healing timeline:
- Days 1–3: Blood clot stabilization and inflammation control
- Days 4–7: Revascularization begins
- Weeks 2–3: Epithelialization covers the graft
- Weeks 4–6: Connective tissue integration strengthens
- Weeks 8–12: Mature gum tissue forms
Delayed revascularization increases gum graft failure risk.
Gum Graft Before and After

Before gum grafting, tooth roots are exposed and gum tissue is thin. After successful healing, the gum line thickens, root coverage improves, and tooth sensitivity decreases.
Long-term success depends on oral hygiene, brushing technique, and lifestyle habits.
Gum Graft Cost
Gum graft cost depends on graft type and complexity.
Average gum graft cost:
- Single tooth: $800–$1,500
- Multiple teeth: $2,000–$5,000+
Insurance coverage varies and often requires medical necessity documentation.
How Often Do Gum Grafts Fail and Succeed?
Gum graft success rates range from 85% to 95%, while gum graft failure occurs in a small percentage of cases when biological or mechanical factors interfere with healing.
Can Gum Grafts Fail?
Yes, gum grafts can fail. Failure occurs when the graft loses blood supply, becomes infected, or detaches before integration.
Gum graft failure is uncommon when performed by an experienced periodontist and followed by proper aftercare.
Why Do Gum Grafts Fail?

Loss of blood supply and delayed healing are recognized causes of surgical graft failure, according to MedlinePlus, a service of the U.S. National Library of Medicine.
There are 5 main reasons gum grafts fail.
Degree of Gum Recession
Advanced recession with loss of tissue between teeth reduces complete root coverage potential. Severe defects limit vascular support and increase graft necrosis risk.
Oral Hygiene and Lifestyle
Poor oral hygiene, aggressive brushing, and dietary habits disrupt healing. Plaque accumulation triggers localized inflammation cascades that compromise graft survival.
Teeth Grinding
Bruxism creates micro-movement at the graft site. Night guard use reduces mechanical stress and protects graft stabilization.
Smoking
Smoking restricts blood flow and delays angiogenesis. Smoker’s graft prognosis is significantly lower due to compromised vascular supply.
Quality of the Gum Grafting Procedure
Inadequate flap design, poor suture stabilization, and improper graft thickness lead to connective tissue necrosis and premature graft exfoliation.
Signs of Gum Graft Failure

There are 6 clear signs of gum graft failure:
- Persistent white tissue sloughing
- Severe pain beyond 7 days
- Pus or infection at the surgical site
- Graft detachment or movement
- Increasing recession after surgery
- Prolonged redness and swelling
Immediate periodontal evaluation is required.
Treat and Avoid Gum Graft Failure with Periodontal Associates
Periodontal Associates use advanced periodontal plastic surgery techniques to reduce gum graft failure risk. Precision flap design, graft stabilization, and postoperative infection control improve clinical outcomes.

Book Your Consultation
If you are concerned about gum recession or gum graft healing, schedule a consultation with a board-certified periodontist. They can evaluate your specific case, discuss your risk factors, and create a personalized treatment plan to ensure the best possible outcome for your oral health. Early assessment improves success rates and prevents progressive gum recession.
Taking Care of Your Gums to Avoid Gum Grafts
There are 6 ways to protect gum health:
- Use a soft-bristle toothbrush
- Avoid aggressive brushing
- Wear a night guard if grinding
- Stop smoking
- Schedule regular dental cleanings
- Follow dental hygienist guidance
Preventive care reduces the need for gum grafting surgery.
FAQs
How long does gum graft healing take?
Initial healing takes 2 weeks, full healing takes up to 12 weeks.
What does a failed gum graft look like?
A failed gum graft often appears as a large, non-pink patch of white or gray tissue that may eventually detach from the tooth.
Is gum graft failure painful?
Yes, failure often causes persistent pain and inflammation.
Can a failed gum graft be redone?
Yes, revision grafting is possible after tissue stabilization.
End Note
Gum graft healing and failure depend on how well the graft is placed, how quickly it establishes blood supply, and how carefully post-surgical instructions are followed. While most gum grafts heal successfully and provide long-term protection against further gum recession, failure can occur when factors like smoking, poor oral hygiene, teeth grinding, or delayed healing interfere with recovery. Understanding the healing timeline, recognizing early warning signs of failure, and committing to proper aftercare significantly improve success rates. With timely professional guidance and preventive gum care, patients can protect their results, maintain healthy gum tissue, and reduce the likelihood of needing additional periodontal treatment in the future.









